Chromosomes – Karyotyping

Ordnung muß sein !

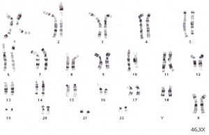
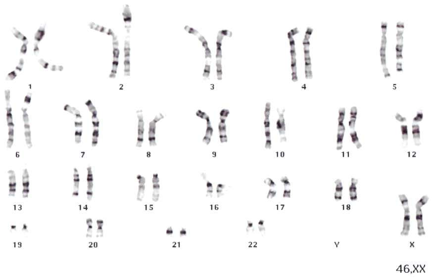
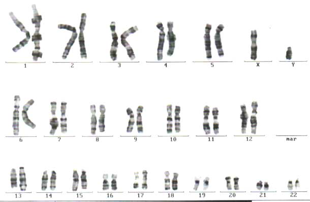
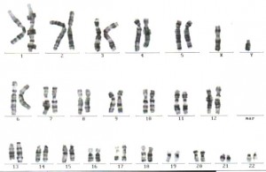
Chromosomen und Diagnostik. Geübte Zytogenetische TechnikerInnen zählen die Chromosomen in der Metaphase nicht einfach durch, sondern achten auch auf die Form der Chromosomen. Die Darstellung der Chromosomen aus Zellkulturen gibt einen Nachweis von Veränderungen im Genom. Ein Karyogramm mit der geordneten Darstellung der Einzelchromsomen wird durch praktische Übungen erläutert. Die notwendigen Arbeitschritte zur Erstellung eines Karyogramm mit der geordneten Darstellung der Einzelchromsomen werden bei biobioseminars durch praktische Übungen erläutert.

XX-Karyotyp

XY-Karyotyp